View Our Special Offers and Discounts - CLICK HERE


A dental implant is a surgical component that interfaces with the bone of the jaw to support a dental prosthesis such as a crown, bridge, or denture. It is a common treatment option for replacing missing teeth.
At TFI Connect Dentistry, our registered dental practitioners offer dental implant treatments. We provide consultations to assess your individual needs, determine your suitability, and explain the procedure, benefits, and risks to help you make a fully informed decision.
It is important to understand that not every patient is a suitable candidate for dental implants. Suitability depends on factors such as overall health, jawbone density, and oral hygiene. All dental implant procedures carry potential risks and considerations, including surgical risks and the need for long-term maintenance, which must be discussed in detail with a dental practitioner. For details on treatment considerations and risks, click here.
Dental implants are small titanium posts that replace missing tooth roots. Surgically placed in your jawbone, they provide a strong and secure foundation for a crown, bridge, or denture, much like a natural tooth root. Once in place, implants integrate seamlessly with your smile, allowing you to eat, speak, and laugh just as naturally as before.
At TFI Connect Dentistry, we provide solutions for:
If you need one missing tooth replaced, this is your best option.
You can replace several teeth or support a bridge.
Discover a secure alternative to traditional dentures.
These are removable dentures that clip onto implants for a snug, stable fit without adhesives.
Even if you’ve been told you’re not a candidate due to bone loss or other concerns, or you’re unsure if dental implants are right for you, our consultation will explore all possible options to restore your smile.

At TFI Connect Dentistry, our in-house dental laboratory allows for close collaboration between your dentist and our technicians. This facility supports the efficient production of various dental restorations, including those used in implant procedures.
Utilising advanced technology such as digital scanning, we are able to design and create custom crowns, bridges, and dentures. This integrated process can help streamline treatment timelines. A consultation is necessary to determine the most appropriate treatment plan for your individual circumstances.

DENTAL IMPLANT PROCESS
We’ll begin with a detailed consultation with our implant dentists to assess whether dental implants are the right restorative treatment for you. A comprehensive scan will be taken to evaluate your oral health, check your suitability, and identify if any additional procedures, such as a bone graft, are needed to support the implants. If you are a suitable candidate for dental implants, we’ll guide you through every option so you understand exactly what’s involved, along with a clear plan outlining costs and payment options.
When it’s time for your implant placement, our experienced dental team will ensure you’re comfortable throughout the procedure. A small titanium post is carefully and precisely positioned into your jawbone with minimal discomfort. Over the next 3 to 6 months, the implant undergoes osseointegration, fusing securely with the bone to form a strong, stable foundation for your new crown. During this healing period, we’ll closely monitor your progress to ensure the best possible outcome for your smile.
Once your implant is fully integrated and healed, we will fit your custom-made crown, bridge, or denture, carefully designed and crafted in our on‑site lab. The crown is made to match your surrounding teeth, creating a natural-looking finish. This is the exciting moment when your new smile truly comes to life, restoring both function and confidence.


We know dental treatment can be overwhelming, especially when it involves surgery. Our experienced team takes a considered, step-by-step approach, explaining everything clearly and ensuring you feel informed and comfortable.
Nitrous Oxide is available to help ease anxiety during your implant procedure.
Nitrous Oxide (a form of inhalation sedation used to reduce anxiety during dental procedures; suitability is assessed by the dentist)

We know dental treatment can be overwhelming, especially when it involves surgery. Our experienced team takes a considered, step-by-step approach, explaining everything clearly and ensuring you feel informed and comfortable.
Happy gas sedation is available to help ease anxiety during your implant procedure.
Dental implant treatment costs vary based on the individual procedure’s complexity and your specific needs. Following a thorough consultation, we provide a detailed treatment plan with transparent costs and available payment options.
To make our dental implants in Labrador more accessible, we offer flexible payment options including Afterpay and Zip Pay, SuperCare, and TLC (Total Lifestyle Credit).
We’re also a preferred provider for HCF, nib, TUH Health Fund, CBHS Health Fund, Medibank, and smile.com.au, helping you get the most out of your dental cover. Pensioners can also benefit from a 10% discount on implant treatment.









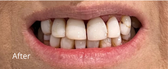
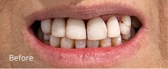
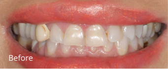
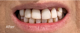
Our implant dentists on the Gold Coast have restored countless smiles, providing everything from single tooth replacements to advanced procedures such as implant-supported dentures from our Labrador clinic.
Thanks to our on-site dental laboratory and advanced digital equipment, we can complete your restorations more quickly and make any necessary adjustments with greater ease. This integrated approach helps streamline your treatment for a more efficient experience.
As a QIP-accredited practice, we follow the highest standards of infection control, quality, and patient care.
We’re located in Shop 2/118 Brisbane Road, Labrador, QLD 4215, with free on-site parking, making us easily accessible for patients across the Gold Coast.
With over 30 years of experience, our team has helped countless patients across Labrador restore their missing teeth with dental implants. To understand your treatment options for missing or severely worn teeth, book your consultation.
Full Mouth and All‑on‑X implants are dental treatments that replace a full arch of missing teeth using a few titanium implants. At TFI Connect Dentistry, we provide these implants as a stable foundation for crowns, bridges, or dentures, supporting oral function.
Daily brushing, flossing, and regular dental checkups help maintain implant health. Our team provides guidance on safe and effective home care to support long-term oral health.
Yes. Implant-supported dentures attach securely to implants, improving comfort and stability during eating and speaking.

Mon: 8 am – 5pm
Tue: 8 am – 5pm
Wed: 8 am – 5pm
Thu: 8 am – 5 pm
Fri: 8 am – 5pm
Sat: 8 am – 3 pm(By Appointments Only)

Mon: 8 am – 5pm
Tue: 8 am – 5pm
Wed: 8 am – 5pm
Thu: 8 am – 5 pm
Fri: 8 am – 5pm
Sat: 8 am – 3 pm
Area we serve
Exclusive Fairy Appointments Available: Monday-Wednesday-Thursday-Friday-Saturday
All surgical or invasive procedures carry risks. Our clinicians will discuss these with you before any treatment.
We recommend consulting a qualified healthcare professional and seeking a second opinion if desired before starting your treatment journey.
© TFI CONNECT DENTISTRY. ALL RIGHTS RESERVED.